Photon-Counting CT am Universitätsklinikum Erlangen
Das Radiologische Institut des Universitätsklinikum Erlangen nutzt modernste Technik, um Patientinnen und Patienten bestmöglich zu versorgen. Hier erfahren Sie mehr über die innovative Technologie Photon-Counting CT (PCCT), welche Vorteile sie für Sie bietet und erhalten einen Einblick in die Forschung am Universitätsklinikum.
PCCT - kurz und kompakt:
- Detektoren in der Photon-Counting Computer-Tomographie (PCCT) können jedes eintreffende Röntgen-Photon zählen und nach Energie sortieren.
- CTs können so bei niedrigerer Dosis aufgenommen werden, haben eine höhere Auflösung und einen besseren Kontrast
- Damit ermöglichen CT-Untersuchungen eine verbesserte Bildqualität, die die diagnostische Sicherheit erhöhen kann.
- Für besondere Personengruppen wie z.B. Kinder, junge Erwachsene bietet die PCCT durch die minimale Strahlendosis besondere Vorteile.
- Für Forschung und Lehre eröffnet die PCCT neue Möglichkeiten.
1. Wie funktionieren herkömmliche CT-Geräte?
- Röntgenröhre: Erzeugt einen Röntgenstrahl, der durch den Körper des Patienten geführt wird.
- Röntgen-Detektor:
- Wandelt eintreffende Photonen zunächst in Licht um.
- Erfasst das Licht als Energiepakete und gibt es als elektrischen Impuls weiter.
- Durch den Zwischenschritt Licht gehen Informationen verloren und die Auflösung sinkt
- Elektronik: Sortiert und verarbeitet die einzelnen Signale.
2. Technik der PCCT kurz erklärt
Die PCCT ist eine Weiterentwicklung der herkömmlichen Computertomographie. Neuartig ist dabei der Detektor: Im Gegensatz zu klassischen Detektoren kann der Detektor im PCCT Röntgen-Photonen direkt in elektrische Impulse umwandeln und damit jedes einzelne Photon zählen und dessen Energie genau erfassen.
- Photon-Counting: Jedes eintreffende Röntgen-Photon wird registriert (“gezählt”) und nach Energie sortiert.
- Höhere Bildqualität: Durch die präzise Energieanalyse entstehen Bilder mit feinerer Detaildarstellung und geringerem Bildrauschen.
- Spektrale Bildgebung: Unterschiedliche Gewebe und Kontrastmittel lassen sich besser voneinander unterscheiden.
(Abb. 2: Schematische Darstellung der PCCT‑Detektor‑Anordnung (Van der Bie, J., et al. (2023). Photon-counting CT: Review of initial clinical results. European Journal Of Radiology, 163, 110829. doi.org/10.1016/j.ejrad.2023.110829))
3. Vorteile für Patientinnen und Patienten
Die PCCT bietet bereits jetzt gegenüber herkömmlichen CT-Systemen Vorteile für Patienten:
- Geringere Strahlendosis
Durch effizientere Detektion lässt sich die notwendige Dosis bei Scans oft reduzieren. Das ist für Patienten vorteilhaft, die besonders strahlensensibel sind und z.B. an Krebserkrankungen oder Herzfehlern leiden. Insbesondere für Kinder, junge Erwachsene, und Menschen mit genetisch bedingt erhöhter Strahlen-Empfindlichkeit kann die PCCT durch die geringe Strahlenbelastung Vorteile bieten. - Bessere Gewebe-Kontraste
Kleinste Strukturen (z. B. Gefäßwandveränderungen, kleinste Tumor-Herde) werden deutlicher sichtbar. Erkrankungen könnten so potentiell früher erkannt werden. - Quantitative Diagnostik
Dichte- und Materialkennwerte können spektral bestimmt werden. So entstehen farbkodierte Darstellungen zur Unterscheidung von Gewebe und einer verbesserten Diagnostik. - Herz CT
Kardiovaskuläre Erkrankungen sind die häufigste Todesursache in Deutschland. PCCT kann potenziell Frühformen von Herzerkrankungen und Verkalkungen in Gefäßen erkennen und so bei stabiler Angina pectoris die Sterblichkeit senken.
4. Forschung am UK Erlangen
An unserer Klinik forschen wir intensiv mit der PCCT. Hier einige aktuelle Projekte und ein Ausblick in die Zukunft der Bildgebung:
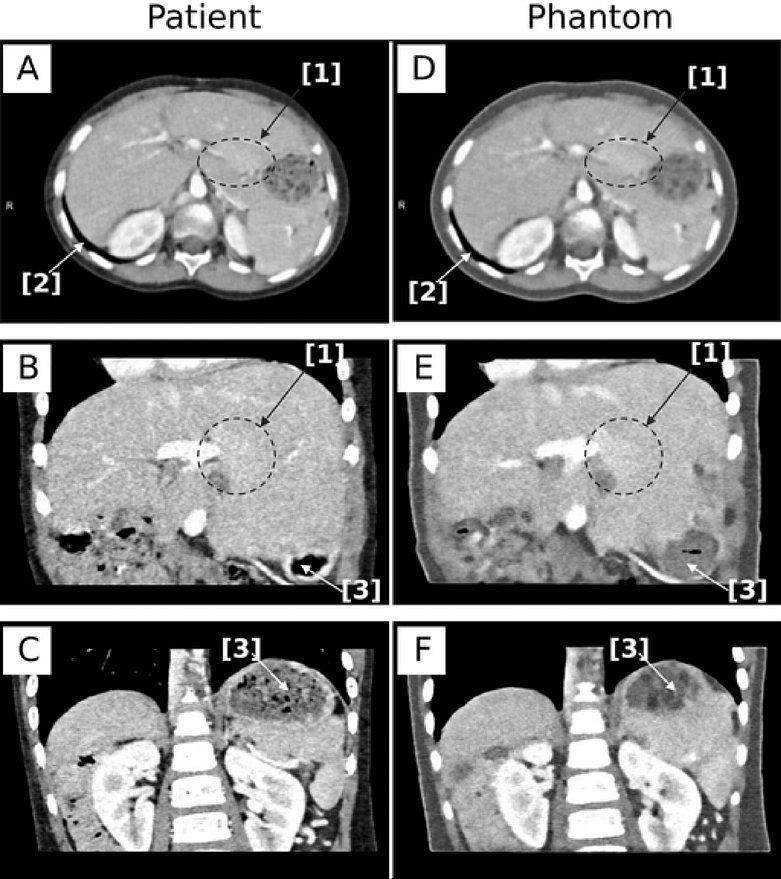
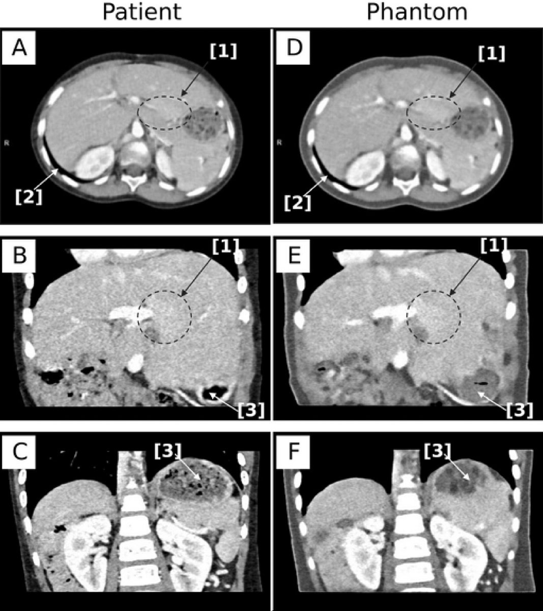
- 3D gedrucktes pädiatrisches Abdomen‑CT‑Phantom:
Basierend auf einem hochauflösenden PCCT-Scan eines realen Patienten konnte ein Modell des Bauchraumes 3D-gedruckt werden. Das Phantom ist eine detailgetreue Nachbildung des Bauchraums des Patienten und eröffnet neue Möglichkeiten: Beispielsweise kann man mithilfe des Phantoms Scan-Parameter optimieren. Das ist bisher nur mit Einschränkungen möglich.
- Spiral-Brust-CT mit Photon-Counting CT:
Eine neue Methode zur Brustuntersuchung – die Spiral-Brust-CT (SBCT) mit PCCT-Detektor – ermöglicht eine besonders detailreiche 3D-Bildgebung ohne schmerzhafte Brustkompression. Sie zeigt vielversprechende Ergebnisse in der Diagnose von unklaren Befunden und zur Operationsplanung. (Wetzl et al.)
- Photon-Counting CT für Patienten mit koronaren Herzerkrankungen:
In Kooperation mit der Medizinischen Klinik 2 (Kardiologie) in Erlangen wird daran gearbeitet mittels PCCT die Diagnostik der Koronaren Herzkrankheit (KHK) zu verbessern und mit minimaler Dosis Verkalkungen der Gefäße sichtbar zu machen.
5. Weiterführende Informationen & Publikationen
- Wetzl M, et al. Spiral breast computed tomography with a photon-counting detector (SBCT): The future of breast imaging? Eur J Radiol. 2022 Dec;157:110605. doi: 10.1016/j.ejrad.2022.110605
- Wetzl M, et al. Detection of Microcalcifications in Spiral Breast Computed Tomography with Photon-Counting Detector Is Feasible: A Specimen Study. Diagnostics (Basel). 2021 May 9;11(5):848. doi: 10.3390/diagnostics11050848
- Schikorra T, et al. Validation of a novel 3D-printed anthropomorphic pediatric abdomen phantom using photon-counting CT. Sci Rep. 2025 Dec 12;15(1):43812. doi: 10.1038/s41598-025-32391-2
- Sartoretti T., et al. Photon-counting detector CT: early clinical experience review. Br J Radiol. 2023 Jul;96(1147):20220544. doi: 10.1259/bjr.20220544 20220544
- van der Bie J, et al. Photon-counting CT: An updated review of clinical results. Eur J Radiol. 2025 Sep;190:112189. doi: 10.1016/j.ejrad.2025.112189
Text erstellt von Thilo Schikorra, Doktorand, Abteilung Radiologie, Universitätsklinikum Erlangen










